EN
TAU抗体
当前位置:首页 > 产品中心 > 抗体 > TAU抗体
Anti-vascular Amyloid 1-42
All
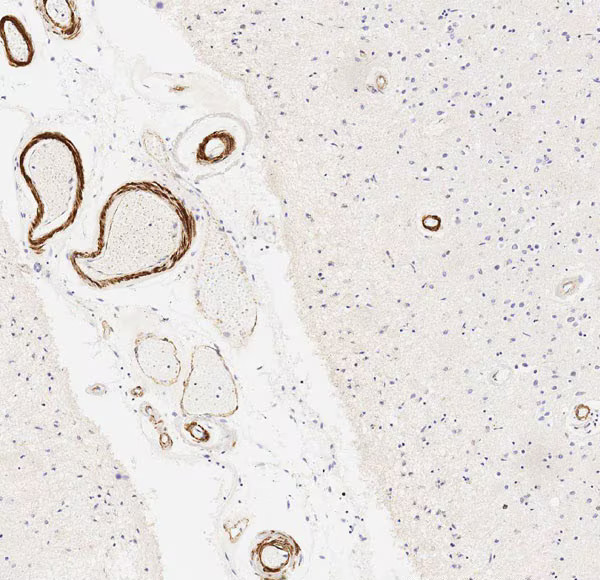
IHC-P
IHC-FrFl
Dot blot
  • CatalogTD-ab201059
  • ClonalitymAb
  • Application Dot blot, IHC-P, IHC-FrFl
  • SynonymsAnti-vascular Amyloid 1-42抗体[mOC31] - Conformation-Specific
  • 规格
    10ul 40ul 100ul
  • 价格
    ¥询价
定制服务咨询

Anti-vascular Amyloid 1-42抗体[mOC31] - Conformation-Specific


概述
货号 TD-ab201059
产品名称 Anti-vascular Amyloid 1-42抗体[mOC31] - Conformation-Specific
描述 兔单克隆抗体[mOC31] to vascular Amyloid 1-42 - Conformation-Specific
宿主 Rabbit
经测试应用 适用于: Dot blot, IHC-P, IHC-FrFl
种属反应性 与反应: Mouse, Human
免疫原 The details of the immunogen for this antibody are not available.
阳性对照 beta Amyloid (Aß) 1-42 IHC-P: FFPE human brain Alzheimer
性能
形式 Liquid
存放说明 Shipped at 4°C. Store at +4°C short term (1-2 weeks). Upon delivery aliquot. Store at -20°C long term. Avoid freeze / thaw cycle.
存储溶液 pH: 7.2
Preservative: 0.01% Sodium azide
Constituents: 59% PBS, 40% Glycerol (glycerin, glycerine), 0.05% BSA
纯度 Protein A purified
克隆 单克隆
克隆编号 Moc31
同种型 IgG
应用
Dot blot 1/100.
IHC-P 1/250 - 1/500. Do not perform antigen retrieval.
IHC-FrFl Use at an assay dependent concentration.
应用说明部分下显示的仅为推荐的起始稀释度;实际最佳的稀释度/浓度应由使用者检定。